Orthodontic Study Group
clinicalorthodontic.com

if I can do it, so can you.

STUDY GROUP MEETINGS

CLINICAL ORTHODONTIC

IMPLANT RESIDENCY

ORTHO WEBINARS

 IMPLANT WEBINARS

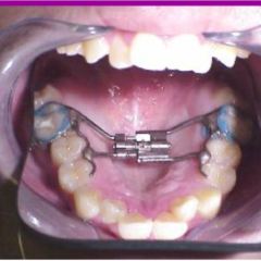
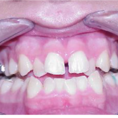
Topic: Expansion

Register

Dear Doctor

Good morning. On the 1st of October, I am leaving for a trip to Spain, Portugal and Morocco. I thoiught, I will drop ou this newsletter about November 12th study group meeting so you can block off the date ahead of time. Cool weather is beginning to settle in and this summer has been very eventful for me. I am looking forward to fall and winter. I was upstate NY last weekend and colors are changing and it is quiote beautiful. I recommend a trip on the countryside within next 2 weeks to see the foliage.

  • We are discussing expansion. I am sure, we all have done few. We will revisit protocol.
  • There are also other types of expanders besides RPE and we will look intot hem as well.
  • Narrow maxilla is indicative of expansion in presense of a crossbite however, expansion is being used as a corrective treatment in Class II and Class III cases as well. We will examine latest literature on the subject.

Hope to see you at this meeting. Please let me know via txt or email.

Please bring your cases. Also, I leave the CE credits on the table next to the projector. Please make sure, you take your copy.

I need a feed back for future topics. If you can please communicate. Let me know if you are attending via email or txt at 9178813048.


See you on the 12th..


Chanda Kale
Practical Orthodontics

Dr.  Chanda Kale: 9178813048
email: chandakale@yahoo.com

Associate Fellow: AAID
Fellow: AAIDDiplomate: ICOI
Diplomate: ABOI/ID Faculty
Past Clinical Assistant Professior: New York College of Dentistry, Implant-Prostho Program NYUCDE

ALL DAY SESSION

Topic

Impacted Teeth

COURSE REGISTRATION
$325 per session 

Call me at 917-8813048 or email me at chandakale@yahoo.com

WHERE 
La Quinta Inn & Suites
350 Lighting way Secaucus, NJ 07904
Phone: 201-863-8700 Ext.7105
Fax: 201-863-6209

WHEN
November 12th, 2019
8:30am-4:30 pm daily

2019-20
2nd Tues of  January, March, May, June, September and November